Flung into freefall for months on end, our bodies adjust in ways that makes for a long list of health concerns for space travelers.
The latest evaluation of microgravity’s warping effect on our biology focuses on the spaces surrounding the blood vessels that weave through our brain, revealing concerning changes that remain with astronauts between missions.
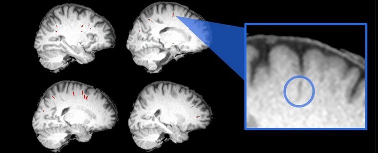
Researchers from across the US compared a series of magnetic resonance image (MRI) scans of 15 astronaut brains taken prior to a six-month stay on the International Space Station, and up to six months after their return.
Using algorithms to carefully assess the sizes of perivascular spaces (gaps in brain tissue thought to facilitate the balance of fluids), the team found time spent in orbit had a profound effect on the brain’s plumbing. For the first-timers, at least.
Among the pool of veteran astronauts, there appeared to be little difference in the sizes of perivascular spaces in the two scans taken prior to the mission and the four taken after.
“Experienced astronauts may have reached some kind of homeostasis,” says Oregon Health & Science University neurologist Juan Piantino.
The findings might not be all that surprising given what we already know about how the brain distorts when the constant tug of gravity is canceled out.
Previous studies on brain tissues and their fluid volumes have found they’re slow to recover from a stint in space, with some changes persisting for a year or more.
Right now, astronauts rarely make more than a few trips into space in their lifetime, typically hanging around for roughly six months at a time. Yet as commercialization of a space industry ramps up, this could all change.
It will pay to know whether repeat trips compound harm, or if changes experienced in that first trip temporarily adapt astronauts to a new kind of normal.
“We all adapted to use gravity in our favor,” says Piantino.
“Nature didn’t put our brains in our feet – it put them high up. Once you remove gravity from the equation, what does that do to human physiology?”
Even in the context of expanded perivascular spaces, it’s not yet fully clear if the change comes with any appreciable health risks.
We tend to make the most use of this neurological drainage system when we sleep. The flush of fluids around our grey matter seems to play an important role in removing waste products that accumulate during our more active hours.
Without these channels functioning efficiently, disruptive materials might accumulate, potentially contributing to increased risks of neurodegenerative disorders like Alzheimer’s.
It’s too soon to tell if microgravity has any impact at all on the circulation of cerebral spinal fluid around our noggins, let alone if changes in the shapes of the network of channels is significant. It might not even become evident until researchers have a good sized sample of veteran astronauts with a substantial career under their belt.
Knowing more about these small adjustments goes beyond the potential harms of working off world in a space industry.
“It also forces you to think about some basic fundamental questions of science and how life evolved here on Earth,” says Piantino.
Gravity’s ever-present pull isn’t just something we fight against, after all. It’s a force we’ve evolved to utilize, assisting in the flow of blood and shedding of waste, and potentially a variety of other functions we’ve barely considered.
By studying the subtle changes in health and anatomy under conditions we never evolved to endure, we’re almost certain to learn more about diseases and disorders our bodies have been forced to weather down here.
This research was published in Scientific Reports.


